【搜狐网 腾讯网 新浪网 浙江新闻 台州晚报 今日玉环】玉环3岁女孩两眼长满虱子

日前,玉环市人民医院眼科接诊了一名3岁的小病人。女孩因为双眼奇痒,频频揉眼,被妈妈抱来就诊。医生在她的眼睑里,取出了活虱子。眼科主任说,自己从业28年,第一次见到这样的病例。
女孩生活在城市,家里也没有养宠物,眼睛长虱子的原因,是因为她特别爱在地上爬行。
医生提醒市民,注意环境卫生和用眼卫生至关重要。
女孩眼睑里发现活虱子
这名3岁的女孩,叫童童(化名),有一双漂亮的大眼睛。
这几天,童童老是说眼睛痒,不停地用双手揉眼睛,两只眼睛被她揉得红红的。感觉不对劲的妈妈赶紧带她到医院。
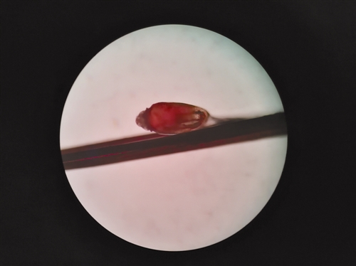
给童童看病的,是玉环市人民医院眼科主任王建君。她在裂隙灯下仔细查看,发现孩子的双眼局部红肿明显,睫毛根部密密麻麻长着一层白色的颗粒,类似虫卵。王建君赶紧取“标本”,并送到了检验科。
一开始,王建君判断这些白色颗粒是螨虫之类的寄生虫,但放到检验科的显微镜下一看,居然是活的虱子。睫毛上长虱子!王建君说自己从医28年来,还是第一次接诊这样的病例。
剪掉睫毛再用药
之后,王建君在眼科显微镜下,将童童两眼睫毛全部剪除,清理睫毛根部皮肤,消毒、用药,并叮嘱其妈妈两天后再带来复查,以防虱子没取干净或再次寄生。
治疗后,童童开心地说自己的眼睛不再痒了。前天再来复查时,眼睛里再也没有虱子的踪影。
王建君介绍,虱子寄生在患者的眼睑处,处理起来相对简单,如果长时间寄生眼球,会引起眼部感染和其他眼部并发症,影响视力。
因为眼睛奇痒,童童家里人差点用了偏方,用硫磺包熏。王建君说,一旦真实施起来,会对眼角膜造成极大的伤害,后果很严重。“如果出现眼睛发痒、有分泌物的状况,不能随便用药,要及时就医。”
搞好卫生很重要
说起虱子,不少人都认识,特别是年龄稍大一点的人。大家一定很疑惑,以前,虱子都在床单、被子里,或者寄生在头发里,怎么会长到眼睛里呢?
据童童妈妈介绍,童童生活在城市,家里生活条件不差,也没养小动物。不过,孩子好动,整天喜欢在地上爬来爬去。
王建君说,随着生活水平和卫生条件的提高,虱子已经比较少见,但并不排除它的存在。孩子天性喜欢在地上玩耍,家里有虱子或者户外有虱子的地方,孩子双手容易接触。没主意卫生,用手搓眼睛,虱子就在眼睑安了家。长时间不清除,虫卵长成成虫,繁殖速度会很快。
王建君提醒广大市民,平时一定要注意室内卫生和个人卫生。尤其是夏天,寄生虫和各类蚊虫较多,一定要勤洗澡,勤换衣,不给虱子等寄生虫提供生存的环境。宠物也容易滋生寄生虫,市民如果在家中养宠物,一定要做好防虫工作。

