【健康台州】医生从男子肛门抠出8颗杨梅籽!这个习惯很多老人都有……
7月2日,87岁高龄的洪大爷因为脑梗死、高血压入住玉环市人民医院。不料,第二天他突然出现胃口差、腹部胀痛、排便困难等问题,把医生吓得够呛。

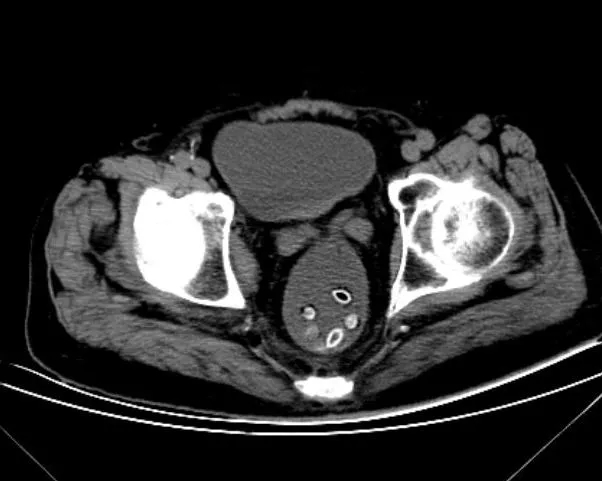
检查后,医生发现洪大爷的下腹部多了一串“珠子”,造成了肠梗阻。
随后,医生组织会诊,从他的肛门里抠出了8颗杨梅籽,经过灌肠处理后,洪大爷腹痛的症状得到缓解。
原来,洪大爷特别喜欢吃杨梅,但这个年纪的人,多多少少有些吃水果不爱吐籽的习惯,洪大爷入院前就吃了十多颗杨梅,都没有吐籽。
医院神经内科主治医师刘青霞说,不爱吐籽的吃法虽然短期内不会有什么明显症状,但日积月累也会对肠道造成不小的伤害。

杨梅核吞服后无法获得营养和药用价值,而且过量食用杨梅核,除了可能引发肠梗阻外,还可能刺激胃肠黏膜。特别是老年人肠功能减退,肠蠕动减慢,再加上疾病,活动量减少,容易便秘,引发肠梗阻,甚至肠穿孔。
对于水果连籽一起吃更健康的传言,刘青霞介绍,一般来说,那些混杂在果肉里面的种子都能吃,如猕猴桃籽、西红柿、火龙果等。虽然不少水果籽富含营养,如葡萄籽、西瓜籽、石榴籽等,但有的吞服营养难以被吸收,有的嚼粹后味道差,最好还是吐了。

另外,有些含有毒物质的水果籽和核都不能吃,榨汁最好剔除果核(籽),例如苹果、苦杏仁、梨子、李子、枇杷和樱桃等。这些水果中可能含有氰苷,这种物质本身无毒,但当植物细胞结构被破坏后,其中的β葡萄糖苷酶就会水解氰苷,生成有毒的氢氰酸,一旦大量摄入就可能引发急性中毒。

