【无限玉环】乙肝10多年不治,肝破裂大出血,介入栓塞挽回生机
不痛不痒的,不用管
抱着这样的想法
患者老张发现乙肝十多年
从未治疗体检
直到日前他突发腹痛头晕
抢救时才知道
肝脏里有铅球大小的肿块
正在破裂大出血!

乙肝十多年 突发大出血
介入栓塞 “栓”住性命
“肚子痛胸闷,头也晕晕的。”老张今年61岁,事发当夜,他在睡梦中突然感觉剧烈腹痛。被家人送来医院时,老张脸色苍白气促,血压下降、心率加快,是典型的失血性休克症状。
急救团队结合CT检查诊断,肝脏巨大肿块破裂、腹腔大量积血,万分危急。

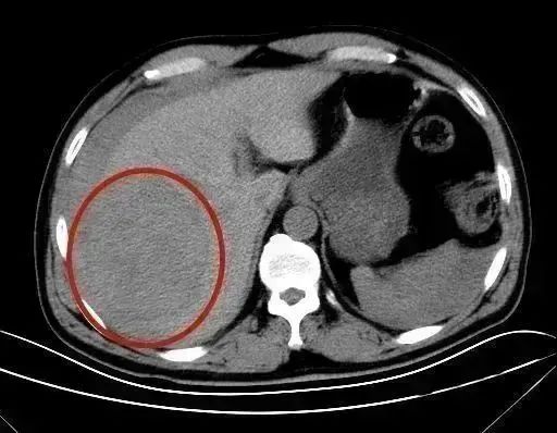
【CT影像下的巨大肿块】
“患者肝脏肿块的直径约10公分,足有铅球大小,肿块包膜破裂引发了大出血。”放射科副主任郑胜解释,慢性乙肝患者有可能发展成肝硬化甚至肝癌。当肿瘤在腹腔内生长受限时,就会突然破裂出血。
郑胜介绍,肝脾是人体的血液回流中转站,质地脆弱、血供丰富。一旦出血,容易在短时间内会大量失血,导致失血性休克甚至死亡。患者的大出血已危及性命,当务之急就是止血。

【当天监控下的抢救画面】
凌晨2时许,接到通知的放射介入团队迅速集结到位。
患者被送入导管室后,郑胜与放射科主治医师苏维杰第一时间开始经股动脉肝动脉造影与栓塞术。术中用碘化油及明胶海绵颗粒对出血动脉进行了栓塞,成功止血。

术前

术后
郑胜介绍,相较于急诊开腹止血手术,介入栓塞术具有创伤小、恢复快、并发症少等优势,能最大限度地保护肝功能。
同时,血管造影能进一步明确肿块大小、范围及血管情况,为接下来的治疗提供依据。

【介入栓塞术现场图】
术后两天,老张在ICU接受了腹腔穿刺引流术,将此前破裂出血的腹腔积血引出。引流量达1900毫升,这相当于全身血液的一半!
经过精心治疗后,老张病情得到控制,生命体征稳定。“我们高度怀疑患者的乙肝已经进展为肝癌,需要尽快手术,避免发生转移,需要进一步治疗。”ICU医生黄忠解释道。
坚持治疗、定期体检
得了乙肝要上心!
“我老早就知道有乙肝了,人不难受就没管,没想到会这么危险!”老张这回“死里逃生”,才开始后悔当初没有认真对待。

医生介绍,乙肝为主的病毒性肝炎是我国居民常见的传染病。
目前,乙肝无法根治,但患者可以通过抗病毒治疗控制病情,改善生活质量。如果置之不理,慢性乙肝就有逐步发展成肝硬化、肝癌的可能。

肝脏是体内的“哑巴”器官,即使出现病变,也没有明显症状。往往等到病情严重时,患者才有所感知,所以就会有老张这样十多年乙肝“不痛不痒”,“突然”变成肝癌的情况。
因此,治疗关键在于坚持规范治疗与定期检查,从而及时发现,处理可能存在的“隐形炸弹”。

预防肝癌,需要做3件事
01
积极治疗,避免慢性乙肝反复发作。
乙肝病毒并不可怕,阳性患者只有很少部分发生原发性肝癌,真正可怕的是乙肝病毒的持续感染复制、慢性肝炎反复发作,最终使人体免疫力下降,促使肝硬化的发生。
在肝细胞加快再生的过程中,由于基因突变产生肝癌的可能性会大大增加。因此,感染乙肝病毒后,及早治疗和控制非常重要。
02
调整生活方式,少熬夜少饮酒。
肝癌很大程度上来说是一种由不健康生活方式导致的疾病,所以生活习惯的调整有利于预防肝癌的发生。
可能导致肝癌的常见不良生活方式有长期疲劳,过度饮酒,心情不良。
03
半年查一次甲胎蛋白和B超。
对30岁以上乙肝表面抗原阳性患者、慢性肝炎患者、肝硬化5年以上患者、直系亲属三代中有肝癌家族史的几类人群,最好半年检测一次甲胎蛋白和肝胆胰B超,这是早期发现肝癌的唯一黄金手段。
需要提醒的是,“健康病毒携带者”(虽然肝功能基本正常,化验检查是“大三阳”或“小三阳”,但没有其他症状),也应该定期做甲胎蛋白、肝脏B超和乙肝DNA检查,不可掉以轻心。
https://web.chinamcloud.com/yhdst_html/twxw/xxb/62336323.shtml?share=true

