【无限玉环 玉环话散】要命!男子KTV飙歌,结果“炸”了
和朋友相聚KTV唱歌
本是件开心的事
40岁的肖先生
却“乐极生悲”
“炫”歌技时
突然感觉
“头痛到要裂开”
随即神志不清
再醒来
人已经进了医院
……
“他唱着歌呢,突然昏倒,人一抽一抽的,还口吐白沫,喊也喊不应,把我们都吓坏了。”肖先生朋友回忆,他们一边紧急联系120,一边坚持呼喊患者。
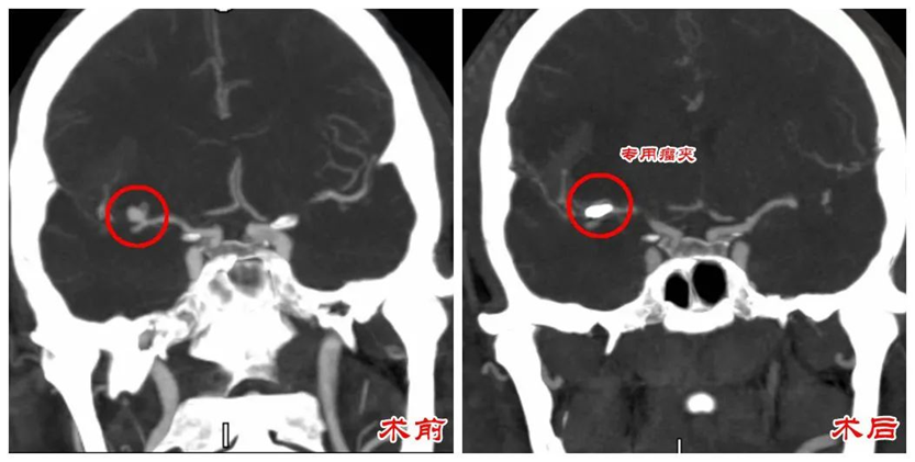
“刚送到急诊科,患者又呕吐了一回,考虑是脑动脉瘤破裂出血后颅内压过高的关系。”接诊的神经外科副主任医师陈思强解释,结合CTA检查,患者为“大脑中动脉瘤破裂伴蛛网膜下腔出血”,性命攸关。

情况危急,急救团队先予以甘露醇、激素降颅压以及气管插管等抢救治疗手段。待颅内压稳定后,神经外科团队在全麻下行“右侧眶外侧入路开颅脑动脉瘤夹闭术、骨瓣复位术”。

手术顺利完成,术后次日,患者神志转清,拔除气管插管,从ICU转回神经外科。因为治疗及时,肖先生目前恢复良好,对答流畅、四肢活动自如。

剧烈头痛、恶心呕吐、神志不清!
脑动脉瘤破裂出血为何“要命”?
动脉瘤不是“瘤”
颅内动脉瘤并非肿瘤,而是因为高血压等因素造成的颅内血管壁局部薄弱,从而向外扩大膨胀,形成的“气球样”凸起。

动脉瘤一旦发生破裂出血,出血速度快,容易引起脑疝,危及生命,常被形容为大脑中的“不定时炸弹”,随时危及性命。
动脉瘤破裂也是造成蛛网膜下腔出血的首位病因,在脑血管意外中,仅次于脑血栓和高血压脑出血,位居第三。
动脉瘤破裂的“信号”

动脉瘤在破裂之前,大部分的患者是无症状的。少数人会出现反复轻微头痛,眼睑下垂等症状,但都不典型。
动脉瘤在破裂之后,主要表现为剧烈的撕裂样、爆炸样头痛。同时伴有恶心呕吐、眩晕失语、意识障碍等症状。
医生强调,突发剧烈头痛,一定要及时就医。送医途中,应将患者头偏向一侧,防止误吸、保持呼吸道通畅。
动脉瘤破裂的诱因
在我国,35~75岁人群中未破裂脑动脉瘤发病率约为7%,40~60岁人比较常见,尤其是女性,主要和先天因素如血管壁发育不良,后天疾病损害如高血压等有关。
因此,医生建议,40岁以上,就应该每两年做一次头部血管检查。

除了动脉瘤自身大小等特征外,高血压、吸烟、过度饮酒、长期熬夜、用力排便、咳嗽、剧烈活动、情绪波动等都可能是动脉瘤破裂的诱因。
另外,研究发现1/3的动脉瘤在睡眠中破裂出血,1/3无诱因破裂出血。
发现动脉瘤,怎么办?
对于已经破裂或引起症状的动脉瘤需要开展手术治疗。医生会根据患者情况不同,选择开颅手术或血管内介入手术,对动脉瘤进行夹闭或栓塞。

对于未破裂、未引起任何症状的动脉瘤,要定期检查动脉瘤大小、监测控制血压、血脂等基本情况,从合理生活习惯、健康饮食、规律服药、严格戒烟戒酒等方面做好预防。
http://web.chinamcloud.com/yhdst_html/twxw/tsyh/63199458.shtml
https://web.chinamcloud.com/yhdst/db/yhhs/63217675.shtml

