【浙江学习平台 台州学习平台】健康知识丨肺被“栓”住 元凶竟是久坐
下车即晕倒,生死一线间
前不久,四川的彭女士跟着丈夫自驾回玉环上班,由于堵车,她在车上一坐就是10个小时。本以为这次安全到家,没想到一下车,彭女士就晕了过去。
当彭女士再次恢复意识时,已经身处台州玉环市人民医院。她还不知道,自己昏迷的这几天,与死神擦肩而过。

医生查房
肺被“栓”住 元凶竟是久坐
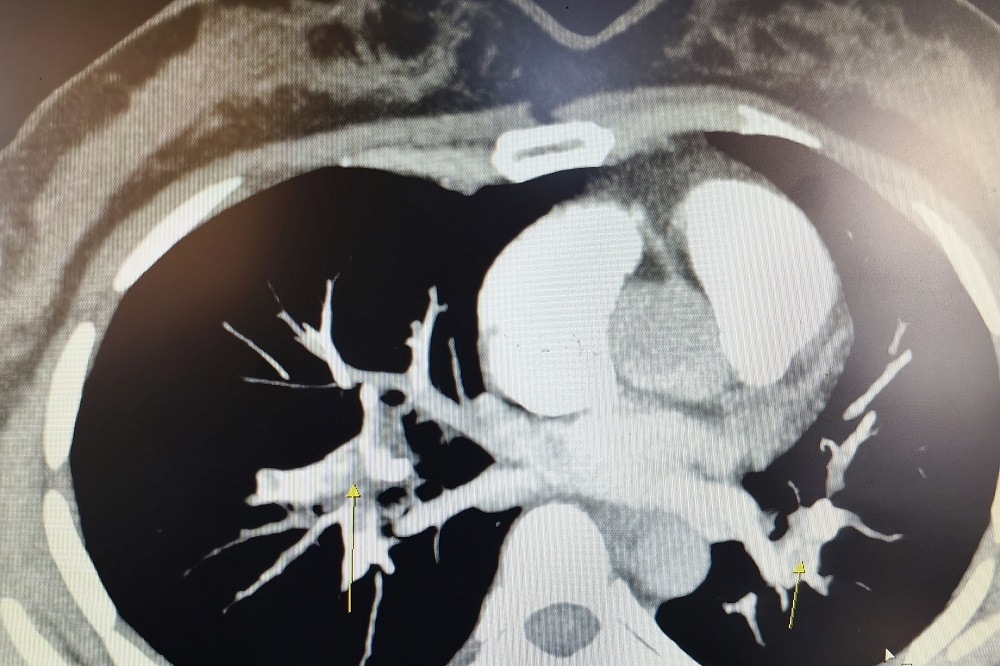
“急诊CT提示,患者肺部双侧与主干血管均有不同程度的栓塞,我们立刻采取了吸氧、抗凝等治疗。”台州玉环市人民医院呼吸与危重症医学科主治医师王剑解释,彭女士是因久坐导致下肢深静脉血栓,引起急性肺栓塞、呼吸衰竭。
她所遭遇的情况,在医学上有个专门的名称:“经济舱综合征”。

“经济舱”综合征
在日常生活中,我们乘坐相对密闭的交通工具进行长途旅行时,如果长时间保持坐姿、静止不动,双下肢静脉血液回流就会变得缓慢,血液瘀滞,这就为下肢深静脉血栓的形成创造了条件。
一旦久坐后立即开始活动,那些脱落的血栓便会顺着血流循环一路“闯荡”,先回流至心脏,然后抵达肺部。而肺内的血管是越分越细的,血栓最终就会卡在肺部血管,导致肺栓塞。此时,肺里参与氧气交换的血液大幅减少,身体会严重缺氧,患者就会出现呼吸困难、咳嗽、胸痛等紧急症状,严重的甚至会因呼吸衰竭而死亡。

CT影像
真正危险的不是经济舱,而是“不动”!
经过一周多的对症治疗,彭女士的情况逐渐好转,已顺利出院。
医生提醒,连续3个小时以上的久坐会大大增加患血栓的风险。肺栓塞发病急、进展快,未经治疗的肺栓塞死亡率高达20%-30%。许多患者在没有明确诊断时已经死亡,需要积极预防。
如果腿部突然出现原因不明的疼痛和肿胀,应及时就医,在得到明确诊断结果之前,患者应尽量减少活动,也不能进行按摩或热敷,避免引起血栓脱落。
如果出现呼吸困难、咳嗽、咯血、胸痛等情况,很可能是肺栓塞的症状,必须迅速拨打120急救电话,送医治疗。

肺栓塞形成原理

肺栓塞形成原理
保命四字诀,有效预防血栓形成
1.动:尽量避免长时间不变的坐位姿势。无法离开座位时,可规律活动双脚或双腿,进行“提膝、踝泵、绕趾、贴胸”等下肢运动动作。
2.饮:多饮水可稀释黏稠的血液。喝水、勤上厕所的同时,能被动改变坐姿,一举两得。
3.穿:避免穿过于紧身的衣裤鞋袜,穿着宽松舒适的衣物。肥胖、肿瘤患者、肾病综合征患者、老年人等高危人群可选择穿着弹力袜,有助于减少下肢深静脉血栓的形成。
4.药:血栓性疾病患者和高凝血症患者需根据自身疾病情况,遵照医嘱服用一些抗凝的药物。

