我院成功实施食管覆膜支架植入术 患病的张大伯终于可以进食了
心血管放支架治疗心梗,脑血管放支架治疗中风,这许多人都知道。但食管也能放置覆膜支架封堵瘘口,这个你听过吗?
近日,我院消化内科为一例食管癌晚期患者施行了食管气管瘘覆膜支架植入封堵术,顺利帮助患者解决了无法正常进食的烦恼。
71岁的张大伯(化名),一年前发现患有食管癌时已是晚期。因为年龄偏大不能耐受手术,一直接受保守治疗。近段时间,老人吃东西后总是呕吐,还伴有咳嗽、发热,症状越来越严重,连喝水都呕。
到我院检查,又被确诊为食管气管瘘。
什么是食管气管瘘呢?正常食管位于气管后方,彼此间有疏松组织间隔,保证进食、呼吸两条道互不影响。然而,食管内外先天或后天病变导致食管气管相通,医学上称为“食管气管瘘”。它会导致无法正常进食,就好像平常进食及饮水时,无意中误入气管,出现剧烈咳嗽的那种感受一样,非常难受,极易引起吸入性肺炎,且营养摄入无法满足机体的需要,甚至危及生命。
因为这个疾病,老人几乎没有办法吃东西,喝水。经常一喝水,就呛到气管里。
为了帮助老人解决正常吃饭问题,消化科主任裴希军和主治医师姚必瑜仔细评估,决定通过胃镜手术,在老人的食管里放置了一个食管支架,把食管跟气管的瘘道给堵上了。
然而,这时又发现老人患有严重心脏病——房颤伴三度房室传导阻滞,每分钟心跳只有40次左右,手术过程中随时有心跳停止的危险。于是,姚医师又找到心内科专家帮忙。经过讨论决定:为老人装置心脏临时起博器后立即实施食管覆膜支架植入术。
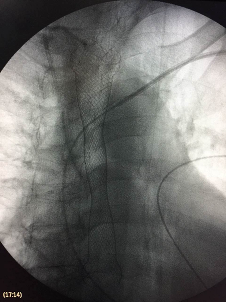
3月20日,消化内科与心内科两科强强联手,当心内科主任阮宏标为老人装完起搏器后,姚必瑜医生接着上阵。“我们通过消化内镜,在病人的食道内放置一长约12厘米的食管支架,支架外层带有一层膜,既能扩张食道,又能封堵瘘口。”姚必瑜说。
手术过程十分顺利,支架一次性置入。术后当天,老人便能喝水,第3天开始进食稀饭,术前呛咳、吞咽困难等症状未再出现。

【CT下食管覆膜支架】
姚必瑜介绍,食管气管瘘是食道癌患者常见的并发症,会给病人带来两方面的问题:一是病人由于无法进食进水,导致无法摄取营养;二是食管气管瘘,一旦侵犯到气管,很容易引起肺部感染,造成死亡。
通过这个手术,可以起到两方面的效果:一是老人以后吃进去的食物可以进入胃里了。二是食物或者液体不会呛到气管里,肺部感染可以得到有效控制。
食管内置支架主要适用于晚期食管癌引起的食管狭窄、梗阻,食管癌放疗后复发无手术指征的病人。通过在食管内放置覆膜支架的方法,可快速解除狭窄或梗阻,恢复患者进食功能,有效改善患者生活质量,帮助病人赢得更多的治疗机会和生存时间。
在此,姚必瑜也提醒广大市民,经常喜欢吃烫食、长期吸烟饮酒的人容易受到食道癌的“青睐”,日常生活中一定要养成良好的饮食习惯,别让癌症有可趁之机。

