好奇宝宝爱尝“鲜”,家长一定要留神!
看啥都好,拿啥都吃
孩子的好奇心
远远超出大人的想象
一不留神就可能酿成大祸
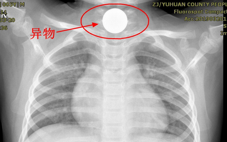
“医生,我家孩子好像吞下了什么东西,快点帮忙给想想办法!”3月20日晚上10点多,一对年迈的老人抱着5岁的孙子跑进玉环市人民医院急诊科焦急地说道。患者小成指着自己的喉咙,不时的感觉恶心想吐,异物感明显,这可急坏了家中的老人。

值得庆幸的是,经拍片检查,异物并没有卡入气道,否则将是致命的危险。急诊科医生在了解患者情况后立刻联系消化内科主任裴希军,裴主任和其他医生一起对患儿异物位置及身体情况等进行了初步评估,行气插全麻下取异物术。

经过医生们的通力配合,在短短2分钟,就顺利取出卡在食管的异物,竟是一枚硬币,最终小成家人悬着的心总算放了下来。

原来,当晚家住海山的小成在家中玩耍,好奇的找到了一枚硬币,一不小心硬币顺着嘴巴滑了下去。因为卡在喉咙难以忍受,起初自己想着去扣嘴巴,但没用成功,这才想到向奶奶救助。
“孩子在幼儿时期,好奇心很强,习惯用嘴和舌头去‘认识’世界,有可能会把一些不安全的物品放进嘴里,造成误吞。”医生提醒,如果家里有小孩,尤其是不到5岁的孩子,家长一定要把小东西收好,比如药品、玩具上的小零件等。
温馨提示:
当孩子不慎咽下异物后,感到胸口或上腹部疼痛且吞咽困难,应立即停止进食进水,以防异物继续下落损伤消化道,同时速去医院检查由医生将异物取出。
如果孩子吞入钉子、碎玻璃等尖锐、带尖带钩的异物,随时可能钩住甚至穿透消化道壁,造成严重的消化道损伤。
如果孩子吞入的异物不大,但较重,如金戒指等,进入胃以后因其过重而沉入胃最低处,无法随胃蠕动进入肠道被排出,时间长了可引起胃黏膜损伤、出血甚至发生穿孔。

另外,幼儿喉部的反射性保护功能发育不完善,牙齿没有长全,咀嚼功能较差,不能完全将食物嚼碎。因此建议家长,尽量不要给3岁以内的孩子吃坚果和果冻等食物,如果一定要吃,最好碾碎后再吃。
我院每年都能接诊
因孩子误吞异物急需处理的案例
请家长在关注孩子健康与学习的同时
更要关注孩子的安全

