第二故乡给了我第二次生命!时隔12年辗转2320公里,玉环上演“千里走单骑”
“谢谢你们,是第二故乡给了我第二次生命!”10月15日下午2点20分,云南小伙杨华军乘坐救护车辗转2320公里,终于回到了他梦牵魂绕的老家与家人团聚。
对于杨华军来说,最近三个多月生活的不幸和幸运交织:异乡突发重病,医院不仅救了他的命,还派了一辆救护车专程送他回老家。这之前,他已经12年没有踏上家乡的土地了。
打工小伙病倒异乡
故事还得从今年6月26日下午讲起,身患重病的杨华军被民警送到玉环市人民医院。
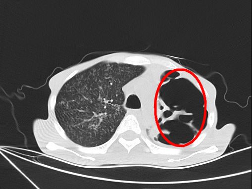
“恶病体质,瘦得皮包骨,高烧到40度,神志不清伴呼吸衰竭。”感染科主治医师张强回忆道,CT检查显示他患得是重症肺结核、肺部感染。
“通过片子看到他的左肺出现大片空洞,几乎全部消失不见,右肺大面积感染,而且有严重的贫血,随时有生命危险。”
“先救人,启动绿色通道!”虽然男子孤身一人,家里人也联系不上,但玉环市人民医院总值班马上安排抢救。
经过抗结核、抗感染、生命体征支持等治疗……一周后,杨华军病情有了一线转机, “病情太严重了,但大家全力以赴地救治,为此还请了上海专家会诊。”

【几乎消失不见的左肺】
住院期间,由于一直联系不上家人,感染科的医护人员就承担起了对杨华军的陪护和照顾。杨华军的医疗费用了14.2万元。张强笑着说:“在年轻的生命面前,这些费用真是微不足道。”
醒来后他说想回家
醒来的杨华军,说自己云南昭通大关县人,自2007年来玉环打工,就与家人失去了联系。“家乡地处偏远且比较落后,当时还未通电话和公路,这么多年也没回过云南。”
经过三个多月的精心治疗,杨华军的病情不仅得到了有效控制,体重也由入院时的30公斤长到了40公斤。
“医生护士对我的照顾无微不至,没有他们我可能早就死了。”说话间,杨华军就红了眼眶,他没想到差点就病死他乡的自己,还能活着回家。
“家里有父母和哥哥,我想回去看看。”随着病情一天天好转,杨华军返乡的念头也越来越重。
得知这一情况,玉环市人民医院又联合玉环市民政局联系上了云南大关县的救助站,并决定用救护车送其回家。
护送2320公里
小伙回到家乡的怀抱
“我们送你回家。”10月13日,医务人员将这个好消息告诉杨华军,他激动不已。
出发前,市人民医院感染科护士陈丹玲专程来到杨华军的病房,与这个朝夕相处了3个月的朋友告别。“这个是护肝的药,每天早上吃一次,这个是抗感染的药,晚饭后吃一次,回去以后一定要记得按时吃药。”陈丹玲一边给他量血压,一边叮嘱他回家也不能停止治疗。
“我知道的,谢谢你们!现在我没办法报答你们,将来有机会的话我肯定会好好谢谢你们!”杨华军不住点头应声道。
路途远,玉环市人民医院安排了院里最好的救护车,两位司机林龙和蔡克华,护士陈品宇随行,市民政局救助站3名民政干部陪同前往。10月14日早上6时,杨华军离开医院,终于踏上了回家的路。
经过32小时2320公里的长途奔波,10月15日下午2时许,一行人终于到了杨华军的家乡云南昭通大关县。
“辛苦你们了,谢谢你们!”杨华军母亲早已等在救助站门口,母子相见喜极而泣,不停地感谢医务人员。
大爱无疆
千里圆梦
践行医者初心
为医务人员点赞
祝杨华军早日康复

