伸下懒腰,肺突然破了!医生:这类人要注意!
伸了下懒腰,
就喘不过气来,
一查,肺竟然被撑破了“洞”!
这看似不可思议的事情,
却发生在16岁的小伙子身上。
危险!伸下懒腰喘不过气,九成肺不见了!
16岁的小陈高高瘦瘦,是个斯斯文文的男孩子,不料伸个懒腰的功夫,突然胸闷难受。在家熬了一天,加重成心慌胸痛,喘不上气。
胸外科主任林苗回忆,“来院治疗时,患者小陈心慌气促,是典型的自发性气胸症状。”
自发性气胸是指无外伤或人为因素情况下,脏层胸膜破裂或者靠近肺表面的肺大疱破裂,气体进入胸膜腔后,胸膜腔内压力骤增,肺部就会被压缩。
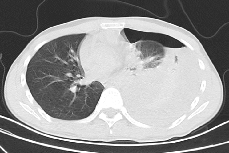
小陈的影像CT检查提示,左侧肺部压缩90%,相当于影像片上,左肺有九成大小“消失了”,他随即被收住入院。
可卧床吸氧对症治疗、左侧胸腔式引流术,都没能“拦住”病情的急速发展。
就在入院次日,小陈感觉阵阵发冷,脸色也变得煞白,“感觉心跳好快,全身都冷冰冰的”。床旁的引流瓶一下子多了许多血性液体,前后共计800毫升。
这都是导致血压急速下降的表现,说明胸腔内正在大出血!

紧急!胸腔镜下止血,微创手术救命!
“立即快速补液扩容备血,通知手术室准备手术!”胸外科主任林苗紧急安排抢救,麻醉科、手术室等科室应声而动。
通过胸腔镜下胸腔探查术,手术团队术中发现患者气胸出血不止的原因在于胸腔顶部一粘连束带撕裂。粘连带中小血管断裂引发了活动性出血,就造成了自发性血气胸。
最终,手术团队在微创手术下清除胸腔内积血并电凝止血。小陈转危为安,日前已平安出院。

警惕!瘦高型的年轻小伙,最易中招!
“自发性气胸起病急,一般病情发展迅速,需要及时诊断和调整治疗。”林苗解释,当肺内压力突然升高,致肺泡破裂,气体通过裂孔进入胸腔内,可造成自发性气胸。而肺组织塌陷后,可能撕裂滋养血管造成胸腔内出血,形成更为严重的血气胸。
出血并不一定和气胸同时发生,有些是隐匿的迟发性出血。
如未及时发现治疗,大量失血会带来失血性休克,危及性命,可以说是十分凶险。
“临床上认为,患者这样瘦高型的青少年容易患上自发性血气胸。”林苗介绍,这类青少年肺部结构较为薄弱,出现病变后,就算是做一些特定的动作或者活动(伸懒腰、扛重东西、坐飞机),都可能诱发气胸的发作。
气胸的治疗方案
气胸具体的治疗方案需要根据个体出血量与病情发展进行调整。
小量自发性血胸,一般可以自然吸收,不作处理。如积血量较多,应尽早开展胸腔闭式引流,尽可能将积血抽净,促进肺膨胀,以改善呼吸功能。但当胸腔内有进行性出血。出现休克症状时,就要果断采取手术紧急止血。

