过五关斩六将,新冠危重患者41天重获新生
对普通人而言,
“阳了”可能意味着几天的发烧咳嗽,
十分难受但不致命。
但对有多种基础疾病的老吕来说,
却是“险之又险”。
因新冠病毒感染,
引发重症肺炎、呼吸衰竭、休克……
过去的41天
71岁的他在“鬼门关”走了一趟!
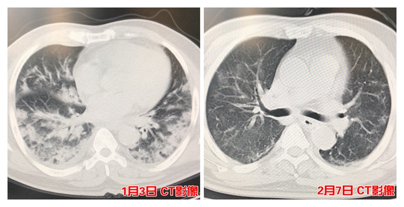
两侧白肺 多种致命并发症 从死神“抢”回性命
今年71岁的老吕家住玉环,感染新冠病毒后,陆续出现发烧咳嗽等症状。
起初,老吕也想靠吃药熬一熬,身体条件却没能跟上——他患有高血压和糖尿病十多年,常年服药。
1月2日是老吕出现症状的第七天。在持续高热和剧烈咳嗽下,老吕突发气促,随即陷入昏迷。因病情危重,他被紧急收住ICU。
“患者当时已经是呼吸衰竭的状态,我们第一时间给上了呼吸机。”ICU主任郑孝敬说,CT检查显示患者两肺大面积感染,血氧饱和度仅为75%(正常值应在95%以上)。
期间,ICU抢救团队采取气管插管、呼吸机上机等辅助通气手段后,老吕的血氧饱和度才恢复到93%。
ICU团队与死神的“抢夺战” 才刚刚开始……

除了重症新冠肺炎、呼吸衰竭外,住院期间他又出现肾功能衰竭、消化道大出血、脓毒症休克、代谢性酸中毒、严重电解质紊乱、严重应激性高血糖、免疫功能障碍等并发症。
1月14日,通气情况差,紧急行床旁气管切开术。
1月17日,停用呼吸机,可短短两天后,情况恶化,不得不再次使用呼吸机。
1月25日,再次呼吸机下机。
1月29日,成功拔除气管插管,各项体征趋于稳定。
翻看老吕这一个多月的住院病历,密密麻麻的记录写满了ICU团队面对棘手病情时,殚精竭虑得“见招破招”和日夜不休的全力救治。
ICU团队给予镇痛镇静、呼吸循环支持、抗病毒、抗炎、抗菌、化痰、拍背,同时俯卧位通气,气管切开、经常性的支气管镜吸痰等治疗,渡过呼吸衰竭及肺部继发细菌感染这一关。
1月31日,老吕各项指标好转,顺利转出重症监护室。

屡破难关 冬尽春来 他说,我又活了一次
转出ICU只能说没有性命之忧,后续治疗也是一次“长征”。
首要问题是呼吸费力,需要使用面罩吸氧等措施。另一方面,患者原有高血压和糖尿病,在基础病症下,治疗与用药方案都得仔细斟酌。
住院期间,通过大剂量胰岛素(最大时每小时20单位)持续输注控制血糖,血糖水平也调控到了比较理想的状态。
针对消化代谢等问题,给予护胃、止血、营养支持、增强免疫力、及时纠正水电解质失衡,同时预防深静脉血栓等治疗后才渡过一个个难关。
关关难过关关过
医护人员与老吕共同坚持努力
最终迎来了春暖花开之日

“前半个月我一点都不记得,后面就感觉慢慢好起来,我这是重新活了一次。”2月11日,在肾内科病房,笔者见到了即将出院的老吕。
41天里,在ICU挺过一关又一关,“死里逃生”的老吕精神头很是不错。
郑孝敬在旁嘱咐:“出院后,要坚持观测血糖血压,饮食运动也得注意。”他说,见到患者康复出院,医护人员也是倍感欣慰。
生死41天,是医护人员与病魔惊心动魄的较量,也是玉环市人民医院救治新冠患者的一幅微缩图景。

