一拖再拖!结石“静悄悄”,52岁阿姨肾遭殃
52岁的蔡阿姨
反复发热了一段日子
想到之前也因输尿管结石
反复发热过
她找到了泌尿外科
这一检查,不得了
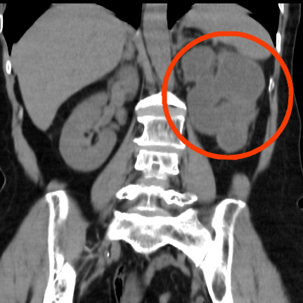
左肾重度积水!
已经到了
不得不切肾的地步

“不痛不痒”小结石 引起严重并发症
蔡阿姨今年52岁,来台州务工多年。几个月前,她因反复发热在外院查出过输尿管结石。
这段时间又出现反复发热,因为和之前输尿管结石发作情况类似,7月22日,她来到我院泌尿外科门诊:“其实不痛不痒的,就是发烧有段时间了,查一查放心点。”
泌尿外科主治医师邱焕双结合病史,为她安排了CT等检查,发现情况远比蔡阿姨预想的棘手——左肾重度积水、急性肾盂肾炎。

“患者是结石梗阻引发了肾积水,已经是无功能,再拖下去还可能面临脓毒血症、尿毒症等风险,危及性命,需要尽快切除肾脏。”邱焕双解释,从检查来看,患者结石应该已经多年,但可惜没有及时发现治疗,才引发了如此严重的并发症。
入院时患者炎症指标高,经过消炎治疗控制感染后,7月25日,泌尿外科主任医师陈孝敏带领团队为蔡阿姨开展了腹腔镜下左肾切除术。

术中,在腹腔镜下可见,肾只有一层皮囊,肾内大量脓性分泌物,正是肾内积脓导致反复发热。
目前,蔡阿姨恢复良好,已顺利出院。
“无症状”不能小瞧 定期体检很关键
肾脏好比水箱,输尿管是下水管,一旦下水管被结石堵住了,水排不下去,水箱的水就会越积越多。日积月累下,肾皮质越来越薄,会出现肾功能损害、肾萎缩甚至肾衰竭、尿毒症等并发症。
泌尿系统结石梗阻引发感染时,会出现腰痛、血尿、发热、出冷汗等症状,但很多人可能没有什么症状,或仅有轻微的腰痛。
结石生长是个慢性进展的过程,没有明显症状不代表没有问题,忽视大意容易耽误治疗。许多患者感觉“不痛不痒”,直到检查时才发现肾已经坏了。
医生提醒,一旦发现结石要到正规医院就诊,及时治疗。不论有无手术治疗,都要定期体检观察结石变化,早预防、早发现、早治疗。 我院常规开展体外碎石术、输尿管硬软镜激光碎石术、经皮肾镜碎石术等多种结石微创手术,可以有效应对不同类型的泌尿系结石。
做好四件事 预防泌尿系统结石
1. 足量饮水,每天饮水量要达到2000~2500毫升,但要注意不能饮料“代”水,少喝甜饮料。
2.注意饮食均衡,多吃蔬菜水果,避免高蛋白饮食和高盐高油饮食。摄入过多的盐(钠)也会增加结石发病率。
3.适度运动、控制体重,过度肥胖者更容易患上结石。
4.治疗相关原发疾病。要积极治疗甲状腺亢进、高尿酸血症、痛风、尿路梗阻、尿路感染、尿路异物等容易诱发泌尿系统结石的疾病。

