6毫米小石头险些“毁掉”他唯一的肾!这些信号别忽视
在大多数人的认知里,一颗小小的结石只不过是“小麻烦”。然而,对于10年前因结石失去右肾,仅剩一个肾脏的韩先生(化名)来说,输尿管里一颗直径仅6毫米的“小石头”,却险些让他的左肾也“罢工”。
危急时刻,玉环市人民医院泌尿外科团队联手精准施治,终于将他从尿毒症边缘拉回。医生提醒:孤立肾如同“独木撑危楼”,结石再小也需警惕!
孤立肾遭遇“致命结石”
时间回溯到几日前,53岁的韩先生在夜间突然感到左侧腰腹部胀痛难忍,这时他才猛然惊觉,从当天晨起8点到晚上8点,整整12个小时,自己竟然一滴小便都没有排过!这个念头让他瞬间慌了神,急忙赶往我院泌尿外科就诊。

接诊的副主任医师章金杰了解情况后,心中立刻敲响警钟。原来,韩先生10年前曾因右侧肾结石、输尿管结石,无奈接受了右侧肾脏切除术,如今仅存左侧一颗肾脏,属于典型的“孤立肾”患者。
对于普通人而言,两颗肾脏互为“备用”,可孤立肾患者一旦出现尿路梗阻,就相当于唯一的“生命水龙头”被彻底堵死,后果不堪设想。
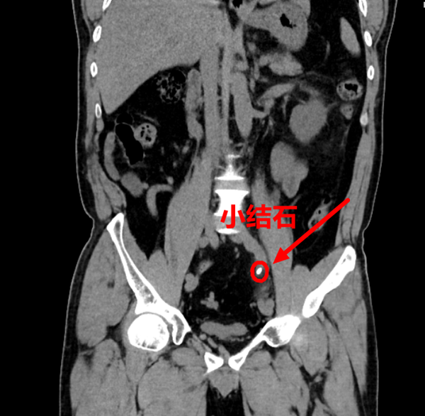
紧急检查结果印证了医生的担忧:CT提示韩先生左侧输尿管结石,且肾功能指标中,肌酐已飙升至336μmol/L(正常范围仅为57-97μmol/L),远超正常上限3倍之多,急性肾损伤已悄然发生。若不及时解除梗阻,毒素会在体内快速蓄积,不出多久就可能引发不可逆的肾衰竭,等待他的将是终身透析的痛苦。
紧急碎石打响“肾脏”保卫战
“不能等!必须立刻手术,打通尿路梗阻!”主管医生章金杰副主任医师当机立断,迅速启动急诊手术绿色通道,一场与时间赛跑的“肾脏保卫战”即刻打响。

手术室里,泌尿团队默契配合、争分夺秒,熟练开展急诊输尿管镜下钬激光碎石取石术。纤细的输尿管镜精准抵达结石梗阻部位,结石约6毫米,钬激光精准发力,将堵塞尿路的结石击碎取出,随后顺利置入支架管,确保尿液能够通畅引流。整个手术仅用了10多分钟,当尿液顺利流出的那一刻,所有人都松了一口气,这根单侧“生命尿道”,终于被成功开通,当天共引流出尿液1900ml。

术后第一天,复查结果传来喜讯:韩先生的肌酐指标从336μmol/L骤降至162μmol/L,肾功能正在快速恢复。经过后续的精心治疗与护理,韩先生的各项指标逐渐趋于正常,近日已顺利康复出院。
“现在想起来还一身冷汗,如果再晚一步,我唯一的肾就保不住了!”出院时,韩先生心有余悸地表示一定要引以为戒,绝不忽视身体发出的预警信号。
小结石大危机,这些信号别忽视!
“结石虽小,破坏力却不容小觑。”泌尿外科主任郑俊斌指出,当结石堵塞输尿管,尿液排出受阻,就会引发肾积水,进而压迫肾脏组织,影响肾功能。如果没有及时处理,短短几天就可能造成不可逆的损伤。
郑主任提醒广大市民,日常生活中,如果出现突然的腰腹部疼痛、血尿、排尿困难等症状,千万不要掉以轻心,这很可能是结石发出的“求救信号”。尤其是孤立肾患者,更要养成定期体检的习惯,做到早发现、早治疗。这部分特殊人群该如何更好地守护“生命独木桥”?郑主任给出了几条建议:
定期监测:每半年检查尿常规、肾功能及肾脏超声,如同给独木桥做“年度检修”。
科学饮水:每日饮水2000ml以上,但避免睡前过量饮水增加肾脏负担。
严控慢病:严格管控高血压、糖尿病等基础疾病,药物选择需避开肾毒性药物。
及时就医:出现腰痛、血尿、尿量减少等症状,需在24小时内就医。

